Cosmetic Results
Nano Veneers



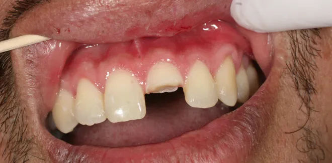
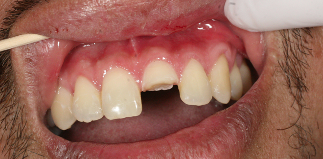
Trauma at a basketball game, and 1 hour later using CEREC


Real Results from Our Patients
The before-and-after photos on this page represent actual results achieved by patients right here at Sorrento Valley Dental. Every smile is different, and every treatment plan is customized to the individual. What you see here are patients who trusted us with something deeply personal — their smile — and we take that trust seriously.
Cosmetic Treatments We Offer
In our practice, the most popular cosmetic procedures include teeth whitening, porcelain veneers, and CEREC ceramic restorations. Dr. Hoang has been performing cosmetic work for over twenty years, and one thing he has learned is that the best results come from listening carefully to what the patient actually wants. Some patients want a dramatic Hollywood smile. Others just want to fix the one tooth that has bothered them for years. Both are completely valid, and we treat every single case like it matters. Because it does.
What to Expect
During your initial cosmetic consultation, Dr. Hoang will examine your teeth, discuss your goals, and walk you through the available options with honest assessments of what each treatment can realistically achieve. We never oversell or promise results that are not possible for your specific situation. Many of our cosmetic patients tell us they wish they had come in sooner — it was way less scary than they thought it would be. We hear that a lot.
Maintaining Your Results
Cosmetic dental work is an investment, and we want it to last. After any cosmetic procedure, our team provides clear aftercare instructions built around your specific treatment. Regular cleanings and checkups help preserve your results for years. We have patients who got veneers over ten years ago that still look fantastic because they followed through with maintenance.
Our Cosmetic Services
At Sorrento Valley Dental, our cosmetic offerings include professional teeth whitening that can brighten your smile by several shades in a single visit, custom porcelain veneers that cover imperfections with a natural-looking shell, and CEREC same-day ceramic restorations. Dr. Hoang also performs dental bonding for minor chips and gaps — a quick, affordable procedure that can dramatically improve the appearance of a tooth in under an hour.
The Consultation Process
Every cosmetic journey at our practice starts with a thorough consultation. We take digital photos of your current smile, discuss what you would like to change, and present realistic options with honest timelines and pricing. We never pressure patients into treatments they do not need. Our goal is to give you the information to make a confident decision — and then deliver results that exceed your expectations.
Frequently Asked Questions
How long does teeth whitening last? Professional whitening results typically last six months to a year with proper care. Avoiding staining foods and beverages and maintaining regular cleanings help extend the results. We also offer take-home whitening kits for touch-ups between visits.
Are veneers permanent? Porcelain veneers are considered a permanent cosmetic treatment because a small amount of enamel is removed during preparation. With good care, high-quality veneers can last fifteen years or more. Dr. Hoang uses only premium porcelain materials to ensure the longest possible lifespan for your veneers.
Does cosmetic dentistry hurt? Most cosmetic procedures involve minimal discomfort. We use local anesthetic for any procedure that might cause sensitivity, and many patients tell us the experience was far more comfortable than they anticipated.
Ready to explore your cosmetic options? Schedule a no-pressure consultation with Dr. Hoang by calling 858.558.2121. We will take the time to understand what you want, explain what is possible, and help you choose the best path forward for your unique smile.
Your smile is one of the first things people notice about you — let us help you make it something you feel proud to share.
Our practice follows guidelines established by the American Dental Association (ADA) and the California Dental Association (CDA).